― なかの歯科・こども歯科クリニックの取り組みについて ―
当院の口コミをご覧になった方へ。
なかの歯科・こども歯科クリニックでは、
初診時の費用が他院よりやや高くなることがあります。
それは、【応急処置中心】ではなく、【原因診断中心】の医療を行っているためです。
本記事では、その理由を明確にご説明いたします。
初診費用に差が出る理由
歯科の初診費用は、
- 実施する検査の内容
- 医療安全体制の整備状況
- 診療の考え方(応急処置型か予防型か)
によって異なります。
当院では、将来の再発を防ぐため、初診時に精密検査を実施しています。
当院の初診で行う主な内容
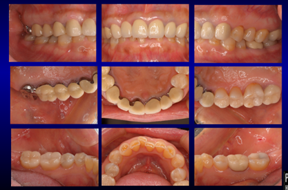
1.口腔内写真撮影
現在の状態を記録し、治療説明や経過比較に活用します。
2.レントゲン撮影(14枚法+咬翼法)
- 14枚法(デンタルフルマウス)
歯1本1本を詳細に確認 - 咬翼法
歯と歯の間の虫歯を早期発見
3.歯周基本検査(P検査)
歯ぐきの状態を数値化し、将来のリスク管理に活用します。
医療安全体制の算定について
当院では、国が定める施設基準を満たし、以下を算定しています。
- 口腔管理体制強化加算(口管強)
- 外来感染対策向上加算(外感染)
- 外来環境体制加算(外環境)
これは、
- 高水準の感染対策
- 滅菌体制の整備
- 医療安全管理体制
- 緊急時対応設備の整備
を行っている医療機関であることを示しています。
その分、初診費用がわずかに高くなることがあります。
口腔管理体制強化加算(口管強)とは?
口管強とは、厚生労働省が定める厳しい施設基準を満たした歯科医院のみが算定できる加算です。
主な要件
- 継続的な予防管理体制
- 医療安全管理体制の整備
- 感染対策設備の充実
- 緊急時対応設備(AED・酸素など)
- 研修を受けた歯科医師・スタッフの配置
つまり、治療だけでなく、長期管理まで行える医院ということです。
口管強を算定している歯科医院の特徴
- 予防管理を重視している
虫歯や歯周病を繰り返さないための管理体制が整っています。 - 医療安全水準が高い
偶発症や緊急時対応に備えた設備があります。 - 感染対策が徹底されている
高水準の滅菌システム・衛生管理体制。 - 継続的メンテナンス体制がある
データ管理・定期的な再評価を行います。
外来感染対策(外感染)・外来環境体制(外環境)とは?
外感染
- 器具の個別滅菌
- 使い捨て製品の適切使用
- 標準予防策の徹底
外環境
- 医療安全対策の整備
- 緊急対応設備の常設
- 事故防止体制の確立
これらは、安心して治療を受けていただくための基準です。
2回目に行う唾液検査(自費)
2回目には、虫歯の原因を明確にするため、唾液によるカリエスリスク検査(自費)を行っています。当院では、オーラルケア株式会社の検査システムを使用しています。
これは、
- むし歯になりやすさ
- 唾液の質
- 酸への抵抗力
を数値で評価し、科学的予防計画を立てるための検査です。
初診費用が少し高い=将来の安心につながる
初診時に精密検査を行うことで
- 虫歯の見逃し防止
- 再治療の減少
- 長期的な医療費の抑制
につながります。
私たちは「その場しのぎ」ではなく、10年後を見据えた歯科医療を提供しています。
歯科初診をご検討の方へ
初診費用は診療内容によって異なります。
ご不明点はお気軽にお問い合わせください。
当院は
- 原因を調べる
- データを取る
- 数値で管理する
という方針で診療しています。
【安さ】よりも【価値】を大切にしています。

この記事の監修:中野稔也(院長)
なかの歯科・こども歯科クリニック
資格・所属学会
- 特定非営利活動法人日本顎咬合学会 認定医
- 特定非営利活動法人日本歯周病学会 会員
- AAP(アメリカ歯周病学会) 国際会員
- Perio Health Institute Japan ゴールドバッジ
- OPセミナー受講デンツプライシロナ・インストラクター




















